Centre du Rachis de l'Est Francilien

Le Centre du Rachis de l'Est Francilien prend en charge l'ensemble des pathologies de la colonne vertébrale.

Basé au sein de l'Hopital Privé Paul d'Egine, à Champigny sur Marne (94), des consultations sont également effectuées à la Francilienne Pôle de Santé à Pontault-Combault, et au Pôle de Santé des Muriers à la Varenne Saint Hilaire.

Issus de services hospitaliers spécialisés en pathologie rachidienne, les chirurgiens du centre sont habitués aux différentes voies d'abord du Rachis (Antérieure, Postérieure, Mini-invasive), et aux différentes pathologies (dégénératives, tumorales, et traumatiques).
La prise en charge de la pathologie rachidienne étant par essence multidisciplinaire, les dossiers les plus complexes sont discutés avec l'équipe de rhumatologie et de radiologie de l'établissement.
Lombaire
Cervicale
Scoliose
Traumatologie
Tumeurs

Les Chirurgiens

Dr Marc Sabourin

Chirurgie du Rachis exclusive
Médecin accrédité par la Haute Autorité de Santé

Cursus et Publications

Membre fondateur du Centre du Rachis

Cursus

Ancien interne des Hôpitaux de Paris
Ancien Chef de Clinique - Assistant des Hopitaux de Paris (Hopital Beaujon - Hopital Bichat)
Ancien Chef de Service du service d'Orthopédie-Traumatologie du CH de Marne la Vallée

DES de Chirurgie Générale
DESC de Chirurgie Orthopédique et Traumatologique
D.I.U de Chirurgie du Rachis
D.I.U d'Arthroscopie
D.U de Microchirurgie
D.U d'Anatomie Chirugicale

Master Recherche en Sciences et Technologie (Mention Biomécanique Ostéoraticulaire et Tissulaire)

Membre de la Société Française de Chirurgie du Rachis (SFCR)
Membre de la Société Française de Chirurgie Orthopédique et Traumatologique (SOFCOT)
Membre du Collège Français des Chirurgiens Orthopédistes et Traumatologues (CFCOT)

Publications

  • Removal of infected cemented hinge knee prostheses using extended femoral and tibial osteotomies: six cases. Massin P, Boyer P, Sabourin M, Jeanrot C. Orthop Traumatol Surg Res. 2012 Nov;98(7):840-4. doi: 10.1016/j.otsr.2012.05.019. Epub 2012 Oct 6. PubMed PMID: 23044467.
  • Massin P, Boyer P, Sabourin M. Less femorotibial rotation and AP translation in deep-dished total knee arthroplasty. An intraoperative kinematic study using navigation. Knee Surg Sports Traumatol Arthrosc. 2012 Sep;20(9):1714-9. doi:10.1007/s00167-011-1740-5. Epub 2011 Nov 5. PubMed PMID: 22057354.
  • Shortening osteotomy and sacro-sacral fixation for U-shaped sacral fractures. Sabourin M, Lazennec JY, Catonne Y, Pascal-Moussellard H, Rousseau MA. J Spinal Disord Tech. 2010 Oct;23(7):457-60. doi: 10.1097/BSD.0b013e3181bee88f. PubMed PMID: 20921873.
  • Three-dimensional stereoradiographic modeling of rib cage before and after spinal growing rod procedures in early-onset scoliosis Sabourin M, Jolivet E, Miladi L, Wicart P, Rampal V, Skalli W. . Clin Biomech (Bristol, Avon). 2010 May;25(4):284-91. doi: 10.1016/j.clinbiomech.2010.01.007. Epub 2010 Feb 2. PubMed PMID: 20129725.
  • Surgical management of pelvic primary bone tumors involving the sacroiliac joint. Sabourin M, Biau D, Babinet A, Dumaine V, Tomeno B, Anract P. Orthop Traumatol Surg Res. 2009 Jun;95(4):284-92. doi: 10.1016/j.otsr.2009.04.008. Epub 2009 May 30. PubMed PMID: 19482533.
  • Closed reduction with traction for developmental dysplasia of the hip in children aged between one and five years.Rampal V, Sabourin M, Erdeneshoo E, Koureas G, Seringe R, Wicart P. J Bone Joint Surg Br. 2008 Jul;90(7):858-63. doi:10.1302/0301-620X.90B7.20041. PubMed PMID: 18591592.
  • Fractures du Sacrum - Rappels anatomiques et classification. Sabourin M, Rousseau MA, Sofia T, Lazennec JY : In Traumatismes de la ceinture pelvienne. Sauramps Medical. 2007.pp 143-150
  • Fractures en U du sacrum - Mécanisme physiopathologique et expérience de la Pitié. Sabourin M, Rousseau MA, Sofia T, Lazennec JY, Bendaya S In Traumatismes de la ceinture pelvienne. Sauramps Medical. 2007. pp 151-160

Dr David Giber

Chirurgie du Rachis
Chirurgie prothétique du Membre inférieur
-

Cursus et Publications

Cursus

Ancien interne des Hôpitaux de Paris
Ancien Chef de Clinique - Assistant des Hopitaux de Paris (Hopital Henri Mondor - Créteil)
DES de Chirurgie Générale
DESC de Chirurgie Orthopédique et Traumatologique
D.I.U de Chirurgie du Rachis
D.U d'Anatomie Fonctionnelle

Membre de la Société Française de Chirurgie Orthopédique et Traumatologique (SOFCOT)

Publications

  • Sagittal correction after short percutaneous fixation for thoracolumbar compression fractures: comparison of the combination of SpineJack® kyphoplasty and fractured vertebra screw fixation. Finoco M, Dejean C, Giber D, Bastard C, Ferrero E, Dubory A, Khalifé M. Int Orthop. 2023 May; doi: 10.1007/s00264-023-05734-9
  • Implant removal after short percutaneous pedicle fixation associated with SpineJack® kyphoplasty: is correction sustained? o Finoco M, Dejean C, Giber D, Ferrero E, Khalifé M. o Trauma Surg. 2023 Jul;143(7):4239-4247. doi: 10.1007/s00402-022-04726-5.
  • Risk factors of instrumentation failure and pseudarthrosis after stand-alone L5-S1 anterior lumbar interbody fusion: a retrospective cohort study o Antoine Jaeger MD David Giber MD Claire Bastard MD; Benjamin Thiebault MD; Arnaurd Dubory MD PhD; Charles-Henri Fouzat-Lachaniette MD PhD. o Journal of neurosurgery: spine
  • Safety of simultaneous versus staged bilateral open wedge HTO with locked plate and immediate weight bearing o Philippe Hernigou MD PHD David Giber MD Arnaud Dubory MD o International orthopeadics
  • Chirurgie de l'arthrose des membres inférieurs chez le sujet âgé o Charles Henri Flouzat-Lachaniette, M.D.; David Giber, MD; Claire Bastard, MD; Arnaud Dubory, MD, PhD; Florent Eymard, MD; Victor Housset, MD Revue du rhumatisme

Dr François Roubineau

Chirurgie du Rachis
Chirurgie du Membre inférieur
Arthroscopie

Cursus et Publications

Cursus

Ancien interne des Hôpitaux de Paris
Ancien Chef de Clinique - Assistant des Hopitaux de Paris (Hopital Henri Mondor - Créteil)
Ancien Praticien Hospitalier du service de chirurgie Orthopédique de l'Hopital Henri Mondor

DES de Chirurgie Générale
DESC de Chirurgie Orthopédique et Traumatologique
D.I.U d'Arthroscopie
D.U de Microchirurgie
D.U d'Anatomie Chirugicale

Publications

  • Hernigou P, Roubineau F, Bouthors C, Flouzat-Lachaniette CH. What every surgeon should know about Ceramic-on-Ceramic bearings in young patients. EFORT Open Rev. 2017 Mar 13;1(4):107-111. doi: 10.1302/2058-5241.1.000027. PMID: 28461936; PMCID: PMC5367589.
  • Flouzat-Lachaniette CH, Roubineau F, Heyberger C, Bouthors C. Distraction to treat knee osteoarthritis. Joint Bone Spine. 2017 Mar;84(2):141-144. doi: 10.1016/j.jbspin.2016.03.004. Epub 2016 May 10. PMID: 27178780.
  • Hernigou P, Trousselier M, Roubineau F, Bouthors C, Chevallier N, Rouard H, Flouzat-Lachaniette CH. Stem Cell Therapy for the Treatment of Hip Osteonecrosis: A 30-Year Review of Progress. Clin Orthop Surg. 2016 Mar;8(1):1-8. doi: 10.4055/cios.2016.8.1.1. Epub 2016 Feb 13. PMID: 26929793; PMCID: PMC4761591.
  • Hernigou P, Dubory A, Potage D, Roubineau F, Flouzat Lachaniette CH. Dual-mobility arthroplasty failure: a rationale review of causes and technical considerations for revision. Int Orthop. 2017 Mar;41(3):481-490. doi: 10.1007/s00264-016-3328-7. Epub 2016 Nov 21. PMID: 27872981.
  • Hernigou P, Dubory A, Roubineau F. History of traction for treatment of lower limb fractures. Int Orthop. 2016 Dec;40(12):2635-2641. doi: 10.1007/s00264-016-3272-6. Epub 2016 Aug 12. PMID: 27520737.
  • Hernigou P, Auregan JC, Potage D, Roubineau F, Flouzat Lachaniette CH, Dubory A. Dual-mobility implants prevent hip dislocation following hip revision in obese patients. Int Orthop. 2017 Mar;41(3):469-473. doi: 10.1007/s00264-016-3316-y. Epub 2016 Oct 20. PMID: 27761631.
  • Hernigou P, Huys M, Pariat J, Roubineau F, Flouzat Lachaniette CH, Dubory A. Comparison of fixed-bearing and mobile-bearing total knee arthroplasty after high tibial osteotomy. Int Orthop. 2018 Feb;42(2):317-322. doi: 10.1007/s00264-017-3540-0. Epub 2017 Jun 30. PMID: 28667383.
  • Ahmed-Yahia S, Decousser JW, Flouzat-Lachaniette CH, Dervin G, Roubineau F, Audureau E, Hourdille A, Royer G, Eymard F, Chevalier X. Is the discopathy associated with Modic changes an infectious process? Results from a prospective monocenter study. PLoS One. 2019 Aug 15;14(8):e0221030. doi: 10.1371/journal.pone.0221030. PMID: 31415619; PMCID: PMC6695213.
  • Jaeger A, Giber D, Bastard C, Thiebaut B, Roubineau F, Flouzat Lachaniette CH, Dubory A. Risk factors of instrumentation failure and pseudarthrosis after stand-alone L5-S1 anterior lumbar interbody fusion: a retrospective cohort study. J Neurosurg Spine. 2019 May 31;31(3):338-346. doi: 10.3171/2019.3.SPINE181476. PMID: 31151106.
  • Faure A, Khalifé M, Thiebaut B, Roubineau F, Flouzat Lachaniette CH, Dubory A. Influence of the Initial Sagittal Lumbar Alignment on Clinical and Radiological Outcomes of Single-Level Lumbar Total Disc Replacements at a Minimum 2-Year Follow-up. Spine (Phila Pa 1976). 2018 Aug;43(16):E959-E967. doi: 10.1097/BRS.0000000000002606. PMID: 29461341.
  • Hernigou P, Dubory A, Potage D, Roubineau F, Flouzat-Lachaniette CH. Outcome of knee revisions for osteoarthritis and inflammatory arthritis with postero-stabilized arthroplasties: a mean ten-year follow-up with 90 knee revisions. Int Orthop. 2017 Apr;41(4):757-763. doi: 10.1007/s00264-016-3319-8. Epub 2016 Oct 27. PMID: 27787574.
  • Hernigou P, Ratte L, Roubineau F, Pariat J, Mirouse G, Guissou I, Allain J, Lachaniette CH. The risk of dislocation after total hip arthroplasty for fractures is decreased with retentive cups. Int Orthop. 2013 Jul;37(7):1219-23. doi: 10.1007/s00264-013-1911-8. Epub 2013 May 12. PMID: 23665654; PMCID: PMC3685674.
  • Hernigou P, Dubory A, Roubineau F, Homma Y, Flouzat-Lachaniette CH, Chevallier N, Rouard H. Allografts supercharged with bone-marrow-derived mesenchymal stem cells possess equivalent osteogenic capacity to that of autograft: a study with long-term follow-ups of human biopsies. Int Orthop. 2017 Jan;41(1):127-132. doi: 10.1007/s00264-016-3263-7. Epub 2016 Aug 24. PMID: 27557954.
  • Hernigou P, Trousselier M, Roubineau F, Bouthors C, Chevallier N, Rouard H, Flouzat-Lachaniette CH. Local transplantation of bone marrow concentrated granulocytes precursors can cure without antibiotics infected nonunion of polytraumatic patients in absence of bone defect. Int Orthop. 2016 Nov;40(11):2331-2338. doi: 10.1007/s00264-016-3147-x. Epub 2016 Mar 1. PMID: 26928724.

En mémoire du Docteur William DELBLOND (1981-2023)

Lire la suite

Pathologies prises en charge

Généralités

Généralités
Notions anatomiques

Pathologie dégénérative lombaire, Sciatiques et Cruralgies

Généralités

Hernie Discale lombaire

Sténose lombaire

Spondylolisthesis lombaire

Discopathies

Pathologie dégénérative cervicale - Névralgies et Myélopathies

Généralités

Hernie Discale Cervicale - Névralgie Cervico-Brachiale

Myélopathie Cervicale

Scolioses

Généralités

Les scolioses de l'enfant (juvéniles)
Les scolioses de l'adolescent
Les scolioses de l'adulte

Traumatologie vertébrale - Fractures et Luxations

Généralités

Tassements vertébraux - Fractures en compression

Fractures thoraciques et lombaires
Fractures du rachis cervical
Fractures de l'odontoïde

Tumeurs osseuses du rachis - Métastases et Fractures pathologiques

Généralités

Instabilité et douleurs Sacro-iliaques chroniques

Présentation de l’articulation Sacro-iliaque
Diagnostic et symptômes articulaires SI
Traitement des douleurs d'instabilité sacro-iliaque

Les Interventions

Hernie discale lombaire

Bien que 80% des hernies ne nécessitent pas de chirurgie, il s'agit de l'intervention la plus fréquente sur le rachis

Arthrodèse lombaire antérieure

Cette intervention est proposée en cas de discopathie invalidante, ou en complément d'une arthrodèse postérieure.

Prothèse discale lombaire

Dans certains cas sélectionnés, la prothèse est une alternative interessante à l'arthrodèse antérieure

Laminectomie lombaire

Quand la compression n'est pas due à une hernie discale

Laminectomie et arthrodèse

En cas de Sténose lombaire associée à un Spondylolisthesis

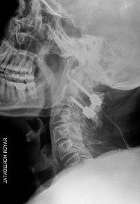
Hernie discale cervicale

La chirurgie de la hernie discale cervicale se réalise par une voie d'abord antérieure, et consiste en une résection de la hernie, associée à une arthrodèse.

Corporectomie cervicale

Il s'agit de décomprimer largement la moelle épinière, par un abord antérieur.

Laminectomie cervicale

Il s'agit de décomprimer la moelle épinière, par un abord postérieur.

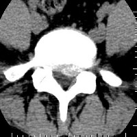
Arthrodèse Sacro-Iliaque

Chirurgie Mini-invasive de stabilisation de l'A.S.I.